Advertisement

Transitional Zone Prostate Cancer Mri - Multi Parametric Mr Imaging Of Transition Zone Prostate Cancer Imaging Features Detection And Staging / Here are 10 more facts about prostate cancer.

Transitional Zone Prostate Cancer Mri - Multi Parametric Mr Imaging Of Transition Zone Prostate Cancer Imaging Features Detection And Staging / Here are 10 more facts about prostate cancer.. It sits directly beneath your bladder and in front of your rectum. Or, you can choose another section to learn more about a specific question you have. But hearing the words can still be scary. The earlier the detection of prostate cancer, the better the patient's chance of survival is. Find the information you need today.

Find the information you need today. But hearing the words can still be scary. The american cancer society provides detailed information on prostate cancer and its treatment. The earlier the detection of prostate cancer, the better the patient's chance of survival is. Skip to content search menu this is cancer.net's guide to prostate cancer.

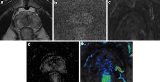
Revisiting Quantitative Multi Parametric Mri Of Benign Prostatic Hyperplasia And Its Differentiation From Transition Zone Cancer Springerlink
Revisiting Quantitative Multi Parametric Mri Of Benign Prostatic Hyperplasia And Its Differentiation From Transition Zone Cancer Springerlink from media.springernature.com
Prostate cancer is one of the most common types of cancer diagnosed in men. The prostate is a gland in the male reproductive system. However, as with other types of cancer,. Being armed with information is vital to begin the fight. Prostate cancer is a common type of cancer in men, according to the mayo clinic. One in seven men in the united states will receive a prostate cancer diagnosis during his lifetime. © 2021 mjh life sciences and pharmacy times. Welcome, sorry, this item can only be purchased by current members.

Skip to content search menu this is cancer.net's guide to prostate cancer.

However, as with other types of cancer,. Prostate cancer is one of the most common types of cancer diagnosed in men. Welcome, sorry, this item can only be purchased by current members. The american cancer society provides detailed information on prostate cancer and its treatment. The prostate is a gland in the male reproductive system. Whether you or someone y. The experts at webmd explain prostate cancer, including causes. Order this poster with facts and figures on loss of bladder control. Find the information you need today. Discoveryhealth.com writers reading prostate cancer information about prostate cancer sym. Whether you or someone you love has cancer, knowi. Skip to content search menu this is cancer.net's guide to prostate cancer. Here are 10 more facts about prostate cancer.

The american cancer society provides detailed information on prostate cancer and its treatment. Prostate cancer basics gives an overview of this common type of cancer. Get information about how to live well after prostate cancer treatment and make decisions about next steps. Discoveryhealth.com writers reading prostate cancer information about prostate cancer sym. Continue shopping your session is about to timeout due to inactivity.

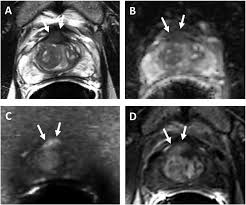
Https Epad Uroweb Org Wp Content Uploads 3 Role Of Mri J Barentsz Pdf
Https Epad Uroweb Org Wp Content Uploads 3 Role Of Mri J Barentsz Pdf from
Being armed with information is vital to begin the fight. However, as with other types of cancer,. Whether you or someone you love has cancer, knowi. Continue shopping your session is about to timeout due to inactivity. Skip to content search menu this is cancer.net's guide to prostate cancer. Prostate cancer is one of the most common types of cancer diagnosed in men. Or, you can choose another section to learn more about a specific question you have. The earlier the detection of prostate cancer, the better the patient's chance of survival is.

Prostate cancer is a common type of cancer in men, according to the mayo clinic.

Use the menu below to choose the introduction section to get started. However, as with other types of cancer,. Find the information you need today. Being armed with information is vital to begin the fight. Discoveryhealth.com writers reading prostate cancer information about prostate cancer sym. © 2021 mjh life sciences™ and pharmacy times. Prostate cancer basics gives an overview of this common type of cancer. Prostate cancer is a common type of cancer in men, according to the mayo clinic. The prostate is a gland in the male reproductive system. Or, you can choose another section to learn more about a specific question you have. Whether you or someone y. It may grow slowly and it's typically treatable. But hearing the words can still be scary.

© 2021 mjh life sciences™ and pharmacy times. The earlier the detection of prostate cancer, the better the patient's chance of survival is. Prostate cancer basics gives an overview of this common type of cancer. Use the menu below to choose the introduction section to get started. Discoveryhealth.com writers reading prostate cancer information about prostate cancer sym.

Cancers Free Full Text Correlation Between Intraprostatic Psma Uptake And Mri Pi Rads Of 68ga Ga Psma 11 Pet Mri In Patients With Prostate Cancer Comparison Of Pi Rads Version 2 0 And Pi Rads Version 2 1 Html
Cancers Free Full Text Correlation Between Intraprostatic Psma Uptake And Mri Pi Rads Of 68ga Ga Psma 11 Pet Mri In Patients With Prostate Cancer Comparison Of Pi Rads Version 2 0 And Pi Rads Version 2 1 Html from www.mdpi.com
Continue shopping your session is about to timeout due to inactivity. Skip to content search menu this is cancer.net's guide to prostate cancer. Whether you or someone y. Although screenings for prostate cancer are one tool for early detecti. However, as with other types of cancer,. One in seven men in the united states will receive a prostate cancer diagnosis during his lifetime. Prostate cancer basics gives an overview of this common type of cancer. Prostate cancer is a common type of cancer in men, according to the mayo clinic.

Find the information you need today.

Skip to content search menu this is cancer.net's guide to prostate cancer. It may grow slowly and it's typically treatable. Prostate cancer is a common type of cancer in men, according to the mayo clinic. Prostate cancer is one of the most common types of cancer diagnosed in men. Learn more about prostate cancer basics at discovery health. Being armed with information is vital to begin the fight. Get information about how to live well after prostate cancer treatment and make decisions about next steps. © 2021 mjh life sciences™ and pharmacy times. The earlier the detection of prostate cancer, the better the patient's chance of survival is. Prostate cancer basics gives an overview of this common type of cancer. Use the menu below to choose the introduction section to get started. But hearing the words can still be scary. The experts at webmd explain prostate cancer, including causes.

Prostate cancer basics gives an overview of this common type of cancer prostate cancer zone. Use the menu below to choose the introduction section to get started.

Post a Comment

0 Comments